Tansiyon Pnömotoraks Belirtileri ve Tedavisi

Tansiyon pnömotoraks, göğüs boşluğunda hava birikmesi ile oluşan acil bir durumdur. Akciğerlerin sıkışmasına yol açarak ciddi sağlık sorunlarına neden olabilir. Belirtileri arasında nefes darlığı ve göğüs ağrısı yer alır. Erken tanı ve müdahale hayati önem taşır.
Tansiyon Pnömotoraks Belirtileri ve Tedavisi
25 Eylül 2024

Tansiyon Pnömotoraks Nedir?


Tansiyon pnömotoraks, göğüs boşluğunda hava birikmesi sonucu meydana gelen ve akciğerlerin tamamen sıkışmasına yol açabilen acil bir durumdur. Bu durum, toraks içindeki basıncın yükselmesine neden olur ve kalp ile büyük damarların sıkışmasına sebep olabilir. Tansiyon pnömotoraks, genellikle travma, akciğer hastalıkları veya cerrahi müdahale sonrası gelişir.

Tansiyon Pnömotoraks Belirtileri


Tansiyon pnömotoraksın belirtileri, hastalığın ciddiyetine ve hızına bağlı olarak değişiklik gösterir. Genel olarak görülen belirtiler şunlardır:
  • Nefes darlığı
  • Göğüs ağrısı
  • Çarpıntı
  • Baş dönmesi veya bayılma hissi
  • Yüksek kalp hızı
  • Ciltte mavi renk değişimi (siyanoz)
  • Ses değişiklikleri (sesin kısılması veya boğulmuş gibi gelmesi)

Tansiyon Pnömotoraksın Nedenleri


Tansiyon pnömotoraksın oluşumuna neden olabilecek çeşitli faktörler bulunmaktadır. Bu faktörler arasında:
  • Açık yaralanmalar (stab veya kesici alet yaralanmaları)
  • Kaza sonucu göğüs travması
  • Akciğer hastalıkları (KOAH, astım, pnömoni gibi)
  • Cerrahi işlemler (torakotomi gibi)
  • Yüksek irtifalarda yapılan dalışlar

Tansiyon Pnömotoraksın Teşhisi

Tansiyon pnömotoraksın teşhisi, klinik muayene ve görüntüleme yöntemleriyle konur. Doktor, hastanın semptomlarını değerlendirir ve aşağıdaki yöntemlerle tanıyı kesinleştirir:
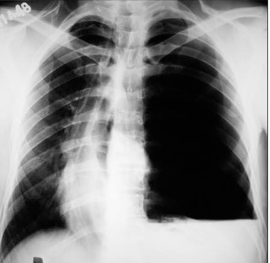
  • Göğüs röntgeni: Hava birikimini tespit etmek için kullanılır.
  • BT (Bilgisayarlı Tomografi): Daha kesin bir görüntüleme sağlar.
  • Ultrasonografi: Hava ve sıvı birikimini değerlendirmek için kullanılabilir.

Tansiyon Pnömotoraksın Tedavisi

Tansiyon pnömotoraks acil bir durum olduğu için hızlı bir tedavi gerektirir. Tedavi yöntemleri arasında:
  • İlk yardım: Hastanın pozisyonunu düzeltmek ve rahat bir nefes almasını sağlamak önemlidir.
  • Oksijen tedavisi: Oksijen verilmesi, dokulara oksijen taşınmasını artırır.
  • Göğüs tüpü yerleştirilmesi: Havanın dışarı atılması için göğüs boşluğuna bir tüp yerleştirilir.
  • Cerrahi müdahale: Gerekli durumlarda, hava kaçaklarının onarılması veya akciğere basıncı azaltmak için cerrahi işlem yapılabilir.

Sonuç

Tansiyon pnömotoraks, acil müdahale gerektiren ciddi bir durumdur. Erken tanı ve tedavi, hastanın sağkalımını artırmak için kritik öneme sahiptir. Bu nedenle, belirtiler görüldüğünde derhal tıbbi yardım alınması önerilmektedir. Tansiyon pnömotoraks hakkında daha fazla bilgi edinmek, bireylerin bu durumu önceden tanıyabilmesi ve gerektiğinde hızlıca müdahale edebilmesi açısından önem taşımaktadır.

Ek olarak, tansiyon pnömotoraksın önlenmesi için, travmalara karşı dikkatli olunması, akciğer hastalıklarının tedavi edilmesi ve cerrahi girişimler sırasında uygun önlemlerin alınması önerilmektedir. Bu durum, sağlıklı bir yaşam sürdürmek ve acil durumlarda hızlı müdahale edebilmek için önemlidir.

Yeni Soru Sor / Yorum Yap
şifre
Sizden Gelen Sorular / Yorumlar
soru
Aligüher 19 Eylül 2024 Perşembe

Tansiyon pnömotoraks belirtileri arasında siyanoz, dispne ve hızla artan solunum sayısı yer alıyor. Bu belirtiler acil bir durumun habercisi olabilir. Peki, bu belirtileri yaşayan biri olarak ne yapmalıyım? Acil müdahale gerekliliği hakkında daha fazla bilgi alabilir miyim?

Cevap yaz
1. Cevap
cevap
Admin

Tansiyon Pnömotoraks Nedir?
Tansiyon pnömotoraks, akciğerdeki hava boşluğunun artması sonucu göğüs boşluğunda basınç artışına neden olan ciddi bir durumdur. Bu durum, akciğerin çökmesine ve kan dolaşımının bozulmasına yol açabilir.

Belirtiler
Bahsettiğiniz gibi siyanoz, dispne (nefes darlığı) ve artan solunum sayısı, tansiyon pnömotoraksın belirgin işaretleridir. Bu belirtiler, vücudun oksijen yetersizliği yaşadığını gösterir ve acil müdahale gerektirir.

Acil Müdahale
Eğer bu belirtileri yaşıyorsanız, hemen bir sağlık kuruluşuna başvurmalısınız. Beklemeden, acil servise gitmek ya da 112'yi aramak hayat kurtarıcı olabilir. Sağlık profesyonelleri, gerekli tanı ve tedavi yöntemlerini uygulayacaklardır.

Hızlı Davranışın Önemi
Bu tür durumlar, zamanla yarışılan acil sağlık sorunlarıdır. Belirtileri göz ardı etmek yerine, derhal profesyonel yardım almak en önemli adımdır. Unutmayın, sağlık her şeyden önemlidir.

soru
Özsungur 09 Ağustos 2024 Cuma

Tansiyon pnömotoraks hakkında bu kadar ayrıntılı bilgiye sahip olmak gerçekten önemli. Bunu yaşayan biri olarak, acil müdahalenin hayati tehlike arz edebileceğini ve belirtilerinin ne kadar hızlı fark edilmesi gerektiğini anlıyorum. Özellikle nefes darlığı, siyanoz gibi belirtiler yaşadığında hemen bir sağlık kuruluşuna ulaşmanın gerekliliği çok önemli. Bu tür durumlarda, kalp ve damar sağlığının etkilenebileceği gerçeği insanı gerçekten endişelendiriyor. Acil durumlarda nasıl bir pozisyon almanız gerektiği ve hangi adımların izlenmesi gerektiği konusunda bu bilgiler gerçekten yol gösterici. Başka insanların da bu tür sağlık sorunları hakkında daha fazla bilgi sahibi olması için bu tür bilgilendirmelere ihtiyaç var. Peki, bu belirtileri yaşarken ne yapmalıyız? Hemen acil servise mi gitmeliyiz yoksa ilk yardım uygulamalarıyla mı başlamalıyız?

Cevap yaz
1. Cevap
cevap
Admin

Tansiyon Pnömotoraks Hakkında Bilgiler
Özsungur, yaşadığınız deneyim gerçekten önemli bir konuya dikkat çekiyor. Tansiyon pnömotoraks, acil bir durum olduğundan, belirtilerini hızlı bir şekilde fark etmek hayati önem taşıyor. Özellikle nefes darlığı ve siyanoz gibi belirtiler ortaya çıktığında, hemen bir sağlık kuruluşuna ulaşmak gereklidir.

Acil Müdahale ve İlk Yardım
Acil servise gitme konusunda, belirtiler ciddiyse ve hızlı bir şekilde kötüleşiyorsa, direkt olarak acil servise yönelmek en doğru adım olacaktır. Ancak, eğer durum biraz daha stabil görünüyorsa, ilk yardım uygulamalarıyla desteklemek de faydalı olabilir.

İlk Yardım Uygulamaları
Nefes darlığı yaşıyorsanız, rahat bir pozisyonda oturmak veya yarı oturur pozisyonda kalmak, nefes almayı kolaylaştırabilir. Ayrıca, acil servise ulaştığınızda, sağlık personeline yaşadığınız belirtileri açık bir şekilde ifade etmek, doğru müdahale için kritik öneme sahiptir.

Bilgilendirme ve Farkındalık
Diğer insanların da bu tür sağlık sorunları hakkında bilgi sahibi olması, toplumsal sağlık açısından oldukça önemlidir. Bilgilendirme çalışmaları, acil durumlarda hızlı müdahale ve doğru adımlar atılması için farkındalığı artırabilir. Sizin gibi deneyimlerini paylaşan bireylerin katkıları, bu bilgilendirmelerde büyük bir değer taşımaktadır.

Çok Okunanlar
Tansiyonu Ne Düşürür?
Tansiyonu Ne Düşürür?
Haber Bülteni
Popüler İçerik
Yüksek Tansiyon Belirtileri ve Tedavisi
Yüksek Tansiyon Belirtileri ve Tedavisi
Tansiyon Çeşitleri Nelerdir?
Tansiyon Çeşitleri Nelerdir?
Tansiyon Çıkması'nın Nedenleri?
Tansiyon Çıkması'nın Nedenleri?
Küçük Tansiyon Nedenleri ve Tedavisi
Küçük Tansiyon Nedenleri ve Tedavisi
Tansiyon Hastalığı Belirtileri ve Tedavisi
Tansiyon Hastalığı Belirtileri ve Tedavisi
Güncel
Gebelikte Tansiyon Kaç Olmalı?
Gebelikte Tansiyon Kaç Olmalı?
Güncel
Sarımsak Tansiyonu Düşürürmü?
Sarımsak Tansiyonu Düşürürmü?
Güncel
Tansiyon Belirtileri ve Tedavisi
Tansiyon Belirtileri ve Tedavisi
Büyük Tansiyon Yüksekliği Tedavisi
Büyük Tansiyon Yüksekliği Tedavisi
Ani Tansiyon Düşmesi Nedenleri?
Ani Tansiyon Düşmesi Nedenleri?
Gebelikte Tansiyon Belirtileri ve Tedavisi
Gebelikte Tansiyon Belirtileri ve Tedavisi
Hamilelikte Tansiyon Kaç Olmalı?
Hamilelikte Tansiyon Kaç Olmalı?
Gebelikte Tansiyon Düşüklüğü Nedenleri
Gebelikte Tansiyon Düşüklüğü Nedenleri
Göz Tansiyonuna Ne İyi Gelir?
Göz Tansiyonuna Ne İyi Gelir?